about MIDB
news
질환의 일람
TOP
>
질환의 일람
>
암 이외의 종양 (악성과 양성)
>
암 이외의 대장의 종양
>
카시노이드종양 (대장)
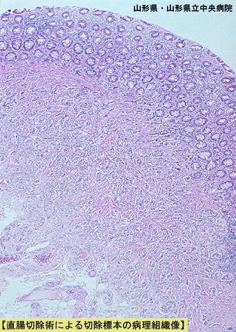
림프절 전이를 동반한 10mm 이하의 다발성 직장 카시노이드 (증례제시:야마가타현, 야마가타현립 중앙병원, Dr.이케다)
Posted by:
Yamagata Pref., Yamagata Prefectural Central Hospital (Yamagata Prefectural Central Hospital)
등록일
2002/10/15
화상
29
성별
남성
연령
50-54
배경색 변경
[Image-ID:3984]
질환(병리주체)의 분류
카시노이드종양/
부위(장기별)
대장/직장
검사방법
마이크로
종양의 최대경(밀리미터)
1~9
종양의 심달도
sm
다발종양(동일 장기)
유(동시성)
다중종양(다수의 장기)
무
TOP