about MIDB
news
질환의 일람
TOP
>
질환의 일람
>
소화관의 조기암
>
조기대장암
>
조기대장암 IIa 형 (IIa+II...
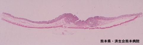
건강검진으로 발견된 조기대장암(증례제시:구마모토현, 사이세이카이 구마모토병원, Dr.요시다)
Posted by:
Kumamoto Pref., Saiseikai Kumamoto Hospital (Saiseikai Kumamoto Hospital)
등록일
2002/11/05
화상
13
성별
남성
연령
45-49
배경색 변경
[Image-ID:4069]
Now translating.
질환(병리주체)의 분류
악성 상피성종양/선암
부위(장기별)
대장/횡행
검사방법
마이크로
종양의 육안분류
0형(표재형)/IIa형(IIa+IIc)
종양의 최대경(밀리미터)
20~24
종양의 심달도
sm
다발종양(동일 장기)
무
다중종양(다수의 장기)
무
TOP