about MIDB
news
질환의 일람
TOP
>
질환의 일람
>
종양으로 오해받기 쉬운 염증성이나 비...
>
장(대장과 소장)의 염증성 질환과 병...
>
크론(Crohn)병(장)
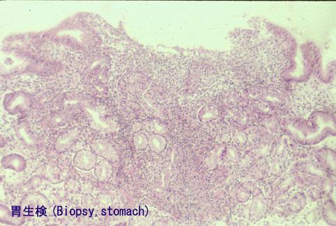
미소한 위병변을 동반한 소장과 대장 크론병의 절제례
Posted by:
Tokyo Pref., 국림암센터 중앙병원과 큐슈암센터의 공동작성
TIC 증상예(다지역 합동소화기관 텔리 이미지 협의회)
등록일
1999/01/01
화상
31
성별
남성
연령
15-19
배경색 변경
[Image-ID:4105]
질환(병리주체)의 분류
염증성 및 궤양성질환/크론병
부위(장기별)
위(부위)/전정
검사방법
마이크로
종양의 최대경(밀리미터)
1~9
다발종양(동일 장기)
무
다중종양(다수의 장기)
무
TOP