about MIDB
news
질환의 일람
TOP
>
질환의 일람
>
암 이외의 종양 (악성과 양성)
>
암 이외의 소장의 종양
>
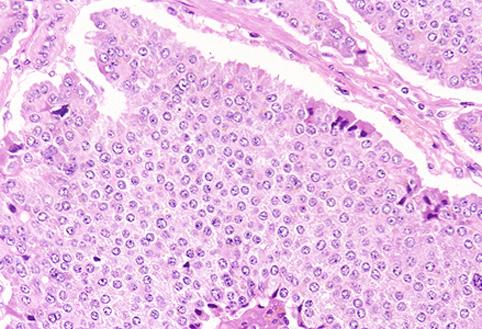
카시노이드종양 (소장)
회맹부에 끼여든 회맹말단부의 소장 카시노이드
Posted by:
Tokyo Pref., 국림암센터 중앙병원과 큐슈암센터의 공동작성
TIC 증상예(다지역 합동소화기관 텔리 이미지 협의회)
등록일
1999/01/01
화상
11
성별
여성
연령
-
배경색 변경
[Image-ID:4228]
질환(병리주체)의 분류
카시노이드종양/
부위(장기별)
소장/회장
검사방법
마이크로
종양의 최대경(밀리미터)
25~29
다발종양(동일 장기)
무
다중종양(다수의 장기)
무
TOP