about MIDB
news
질환의 일람
TOP
>
질환의 일람
>
소화관의 진행암
>
진행대장암
>
진행대장암(충수를 포함) 2형(궤양국...
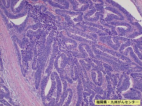
종합건강진단에서 발견된 궤양국한형(2형)의 진행 S상결장암
Posted by:
Fukuoka Pref., 큐슈암센터
정책넷트웍증상예.
CPC 증상예(큐슈암센터-임상병리칸파런스)
등록일
2003/01/23
화상
18
성별
남성
연령
65-69
배경색 변경
[Image-ID:4408]
질환(병리주체)의 분류
악성 상피성종양/선암
부위(장기별)
대장/직장
검사방법
마이크로
종양의 육안분류
2형(궤양국한형)/
종양의 최대경(밀리미터)
40이상
종양의 심달도
ss(a1)
다발종양(동일 장기)
무
다중종양(다수의 장기)
무
TOP