about MIDB
news
질환의 일람
TOP
>
질환의 일람
>
전이성 종양
>
위의 전이성 종양
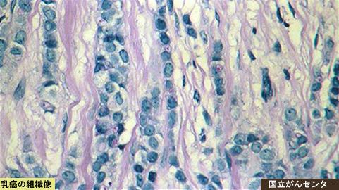
유방암의 수술로 부터 4년 후에、위에 미만성 전이를 일으킨 증례(다지점 합동 소화관 텔레이미지 컨퍼런스 증례)
Posted by:
Tokyo Pref., 국림암센터 중앙병원과 큐슈암센터의 공동작성
TIC 증상예(다지역 합동소화기관 텔리 이미지 협의회)
등록일
2003/03/10
화상
40
성별
여성
연령
45-49
배경색 변경
[Image-ID:4710]
질환(병리주체)의 분류
전이성종양/
부위(장기별)
위(부위)/2개 이상
검사방법
마이크로
종양의 육안분류
4형(미만침윤형)/
종양의 최대경(밀리미터)
40이상
종양의 심달도
s(a)
다발종양(동일 장기)
무
다중종양(다수의 장기)
유(이시성)
TOP