about MIDB
news
질환의 일람
TOP
>
질환의 일람
>
암 이외의 종양 (악성과 양성)
>
암 이외의 대장의 종양
>
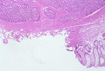
카시노이드종양 (대장)
내시경적 용종절제술로 절제된 직장 카시노이드
Posted by:
Tokyo Pref., 국림암센터 중앙병원과 큐슈암센터의 공동작성
등록일
1999/01/01
화상
9
성별
여성
연령
35-39
배경색 변경
[Image-ID:4929]
질환(병리주체)의 분류
카시노이드종양/
부위(장기별)
대장/직장
검사방법
마이크로
종양의 최대경(밀리미터)
1~9
종양의 심달도
sm
다발종양(동일 장기)
무
다중종양(다수의 장기)
무
TOP