about MIDB
news
질환의 일람
TOP
>
질환의 일람
>
소화관 용종증 및 관련질환과 병변
>
질환명으로서의 소화관 용종증
>
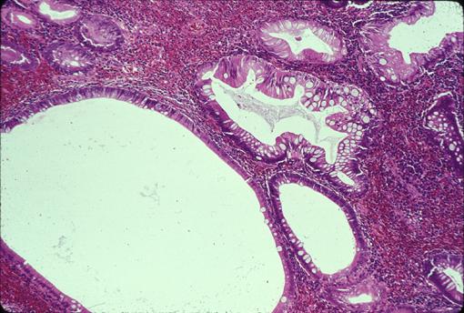
Cronkhite-Canada증후군
식도암과 위암을 동반한 Cronkhite-Canada증후군
Posted by:
Tokyo Pref., 국림암센터 중앙병원과 큐슈암센터의 공동작성
TIC 증상예(다지역 합동소화기관 텔리 이미지 협의회)
등록일
2001/02/27
화상
41
성별
남성
연령
65-69
배경색 변경
[Image-ID:5466]
질환(병리주체)의 분류
종양양 병변/Cronkhite-Canada증후군
부위(장기별)
대장/기타
검사방법
마이크로
종양의 최대경(밀리미터)
1~9
다발종양(동일 장기)
무
다중종양(다수의 장기)
유(동시성)
TOP