about MIDB
news
질환의 일람
TOP
>
질환의 일람
>
종양으로 오해받기 쉬운 염증성이나 비...
>
기생충 질환
>
기생충질환 아니사키스
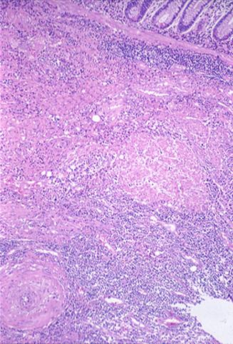
악성 림프종과의 감별진단이 곤란하였던 회장말단부의 소장 아니사키스 절제예
Posted by:
Tokyo Pref., 국림암센터 중앙병원과 큐슈암센터의 공동작성
등록일
1999/01/01
화상
18
성별
-
연령
-
배경색 변경
[Image-ID:5539]
질환(병리주체)의 분류
기생충질환/아니사키스
부위(장기별)
소장/회장
검사방법
마이크로
TOP