Gastrointestinal medical image database select language
japaneseenglishchinesekoreaspanish

Contents

Posted by: Tokyo Pref., 국림암센터 중앙병원과 큐슈암센터의 공동작성
등록일 2003/11/06
화상 9
성별 여성
연령 60-64
Misc 1980-1984

ID:6132
배경색 변경
[Image-ID:6132]
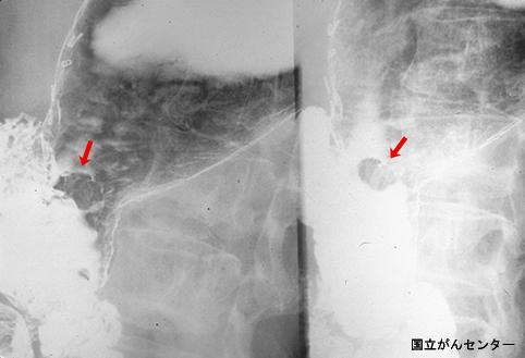
질환(병리주체)의 분류 악성 상피성종양/선암
부위(장기별) 위(부위)/체부
검사방법 X-P
종양의 육안분류 0형(표재형)/I형(I)
종양의 최대경(밀리미터) 15~19
종양의 심달도 m



TOP