about MIDB
news
질환의 일람
TOP
>
질환의 일람
>
유전성 비용종증(HNPCC)
>
대장의 병변
유전성 비용종증 대장암 HNPCC (hereditary nonpolyposis colorectal cancer)의 정리 (수례분)
Posted by:
Tokyo Pref., 국림암센터 중앙병원과 큐슈암센터의 공동작성
TIC 증상예(다지역 합동소화기관 텔리 이미지 협의회)
등록일
2000/09/21
화상
49
성별
-
연령
-
배경색 변경
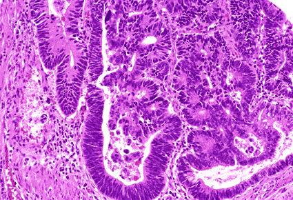
[Image-ID:73]
Cancer of the ascending colon. Well differentiated adenocarcinoma. Cellular atypism and structural atypism of the gland are observed.
질환(병리주체)의 분류
악성 상피성종양/선암
부위(장기별)
대장/기타
검사방법
마이크로
TOP