Gastrointestinal medical image database select language
japaneseenglishchinesekoreaspanish

Contents

Posted by: Tokyo Pref., 국림암센터 중앙병원과 큐슈암센터의 공동작성
정책넷트웍증상예.
TIC 증상예(다지역 합동소화기관 텔리 이미지 협의회)
등록일 2004/05/27
화상 33
성별 남성
연령 55-59
Misc 1990-1994

ID:7324
배경색 변경
[Image-ID:7324]
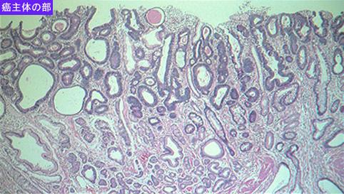
질환(병리주체)의 분류 악성 상피성종양/선암
부위(장기별) 위(부위)/위각
검사방법 마이크로
종양의 육안분류 0형(표재형)/IIa형(IIa+IIc)
종양의 최대경(밀리미터) 30~34
종양의 심달도 m
다발종양(동일 장기)
다중종양(다수의 장기)



TOP