Gastrointestinal medical image database select language
japaneseenglishchinesekoreaspanish

Contents

Posted by: Tokyo Pref., 국립암센터중앙병원
등록일 2004/09/18
화상 27
성별 남성
연령 55-59

ID:7560
배경색 변경
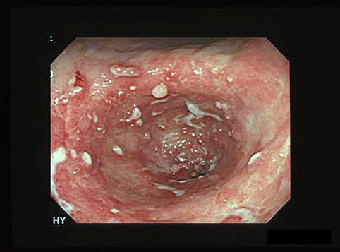
[Image-ID:7560]
질환(병리주체)의 분류 악성 림프계종양/악성 림프종
부위(장기별) 위(부위)/전정
검사방법 내시경
종양의 육안분류 0형(표재형)/IIc형(IIc)
종양의 최대경(밀리미터) 40이상
종양의 심달도 sm
다발종양(동일 장기)
다중종양(다수의 장기)



TOP