Gastrointestinal medical image database select language
japaneseenglishchinesekoreaspanish

Contents

Posted by: Oita Pref., Nakatsu Municipal Hospital (Nakatsu Municipal Hospital)
등록일 2005/01/11
화상 18
성별 남성
연령 70-74

ID:7874
배경색 변경
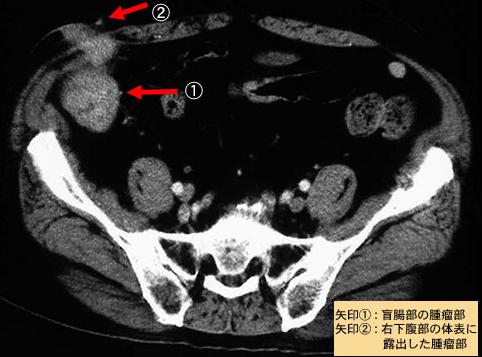
[Image-ID:7874]
질환(병리주체)의 분류 악성 상피성종양/선암
부위(장기별) 대장/맹장
검사방법 CT
종양의 육안분류 1형(종괴형)/
종양의 최대경(밀리미터) 40이상
종양의 심달도 s(a)
다발종양(동일 장기)
다중종양(다수의 장기)



TOP