about MIDB
news
질환의 일람
TOP
>
질환의 일람
>
소화관의 조기암
>
조기위암
>
조기위암 IIc형 (IIc)
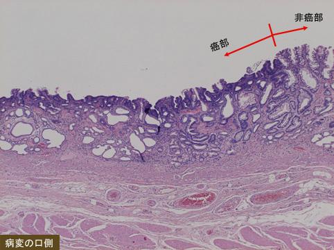
IIc의 중앙부에 비종양성의 과형성 점막을 나타낸 IIc형 조기위암
Posted by:
Fukuoka Pref., 큐슈암센터
정책넷트웍증상예.
등록일
2005/10/17
화상
16
성별
남성
연령
55-59
Misc
2000-2004
배경색 변경
[Image-ID:8777]
질환(병리주체)의 분류
악성 상피성종양/선암
부위(장기별)
위(부위)/전정
검사방법
마이크로
종양의 육안분류
0형(표재형)/IIc형(IIc)
종양의 최대경(밀리미터)
15~19
종양의 심달도
m
다발종양(동일 장기)
무
다중종양(다수의 장기)
무
TOP