about MIDB
news
질환의 일람
TOP
>
질환의 일람
>
소화관의 진행암
>
진행대장암
>
진행대장암(충수를 포함) 2형(궤양국...
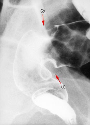
사다리꼴 변형과 호상 변형을 나타낸 2개의 대장암병변을 가진 예
Posted by:
Tokyo Pref., 국림암센터 중앙병원과 큐슈암센터의 공동작성
정책넷트웍증상예.
등록일
2006/02/01
화상
17
성별
남성
연령
40-44
Misc
1980-1984
배경색 변경
[Image-ID:8983]
질환(병리주체)의 분류
악성 상피성종양/선암
부위(장기별)
대장/직장
검사방법
X-P
종양의 육안분류
2형(궤양국한형)/
종양의 최대경(밀리미터)
25~29
종양의 심달도
mp
다발종양(동일 장기)
유(동시성)
다중종양(다수의 장기)
무
TOP