about MIDB
news
질환의 일람
TOP
>
질환의 일람
>
종양으로 오해받기 쉬운 염증성이나 비...
>
장(대장과 소장)의 염증성 질환과 병...
>
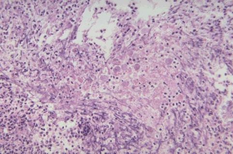
아메바 적리
소융기를 형성한 아메바적리예
Posted by:
Tokyo Pref., 국림암센터 중앙병원과 큐슈암센터의 공동작성
등록일
1999/01/01
화상
14
성별
남성
연령
-
배경색 변경
[Image-ID:904]
질환(병리주체)의 분류
염증성 및 궤양성질환/아메바성 대장염
부위(장기별)
대장/직장
검사방법
마이크로
TOP