about MIDB
news
질환의 일람
TOP
>
질환의 일람
>
암 이외의 종양 (악성과 양성)
>
암 이외의 소장의 종양
>
림프계종양 악성림프종 (소장)
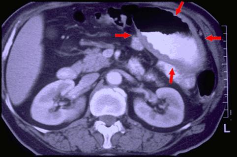
확실한 벽의 비후를 동반한 원발성의 B형 소장 악성 림프종(국립암센터 히가시병원<세키구치 류조>와 큐슈암센터의 공동작성
Posted by:
Tokyo Pref., 국림암센터 중앙병원과 큐슈암센터의 공동작성
TIC 증상예(다지역 합동소화기관 텔리 이미지 협의회)
등록일
1999/01/01
화상
39
성별
여성
연령
55-59
배경색 변경
[Image-ID:938]
질환(병리주체)의 분류
악성 림프계종양/악성 림프종
부위(장기별)
소장/공장
검사방법
CT
종양의 최대경(밀리미터)
40이상
종양의 심달도
s(a)
TOP