about MIDB
news
질환의 일람
TOP
>
질환의 일람
>
종양으로 오해받기 쉬운 염증성이나 비...
>
기생충 질환
>
기생충질환 아니사키스
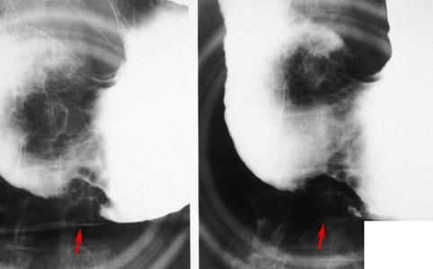
점막하 종양의 형태를 나타낸 호산구성 육아종(위 아니사키스 의심)
Posted by:
Fukuoka Pref., MUNAKATA MEDICAL ASSOCIATION (MUNAKATA MEDICAL ASSOCIATION)
Gastrointestinal case conference
등록일
2006/10/25
화상
25
성별
여성
연령
60-64
Misc
2000-2004
배경색 변경
[Image-ID:9435]
질환(병리주체)의 분류
기생충질환/아니사키스
부위(장기별)
위(부위)/전정
검사방법
X-P
종양의 최대경(밀리미터)
15~19
TOP