■ご利用に際して

本サイトは、厚生労働省がん研究助成金総合研究事業および、厚生労働省第3次対がん総合戦略研究事業にて構築され、2014年3月にその事業を終了しております。現在サイトに掲載されている内容は当時の登録状況のまま公開しているため、必ずしも最新の医療に沿う内容ではない場合がございます。ご注意ください。

ご不明点がありましたら九州がんセンターまでお問い合わせください。

JapaneseEnglish

画像ID:1137
[ 画像ID:1137 ]

■詳細データ

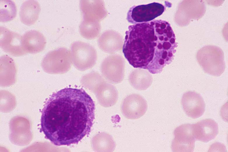
診断材料 骨髄
染色 メイ・ギムザ
光顕的所見 2個ともに病的前骨髄球と思われるが、1時方向のものには粗大な顆粒状(封入体?)がみられる。
【MG.×1000】