TOP
About This Site
Registered history
The recently registered disorder names are indicated in the order of the date of registration.
A list of cases (WHO Classification)
Disorder names are classified with WHO Classification ,stratified and indicated.
A list of cases (FAB Classification)
Disorder names are classified with FAB Classification, stratified and indicated.
Number of items in this site.
Cases:225
Images:1755
National Kyushu Cancer Center
Gastrointestinal Medical Image Database
Healing & Relaxation Photo Image Database
TOP
>
World Health Organiz...
>
B-Cell Neoplasms
>
Mature B-cell neopla...
>
B-cell prolymphocyti...
B-cell prolymphocytic leukemia
[ Image ID:1707 ]
■Detailed data
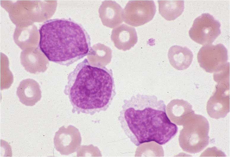
Materials
peripheral blood(PB)
Stain
May-Grünwald Giemsa (MG)
Microscopic findings
The lymphoid cells have rough reticular chromatin, irregular nuclei and projection in 14-16 cell size. These cells are suggested prolymphocytes.
【MG.1000×】