TOP
About This Site
Registered history
The recently registered disorder names are indicated in the order of the date of registration.
A list of cases (WHO Classification)
Disorder names are classified with WHO Classification ,stratified and indicated.
A list of cases (FAB Classification)
Disorder names are classified with FAB Classification, stratified and indicated.
Number of items in this site.
Cases:225
Images:1755
National Kyushu Cancer Center
Gastrointestinal Medical Image Database
Healing & Relaxation Photo Image Database
TOP
>
World Health Organiz...
>
B-Cell Neoplasms
>
Mature B-cell neopla...
>
Chronic lymphocytic ...
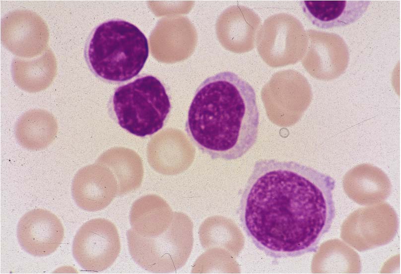
Chronic lymphoid leukemia/prolymphoctes
[ Image ID:1716 ]
■Detailed data
Materials
peripheral blood(PB)
Stain
May-Grünwald Giemsa (MG)
Microscopic findings
The lymphoid cells showed 66% with 12μm cell sized and 22% with 16μm cell sized.
The former have rough chromatin. The latter have rough reticular chromatin and nucleoli.
【MG.1000×】