Number of items in this site.
Cases:225
Images:1755
|

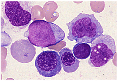
[ Image ID:1872 ]
■Detailed data
| Materials |
bone marrow(BM)aspiration
|
| Stain |
May-Grünwald Giemsa (MG)
|
| Microscopic findings |
The blast cells(center direction)and monocytes
(2 o'clock,4 o'clock)are present. Also the polychromoc erythrocyte with Pappenheimer body are present.
【MG.1000×】
|

|