Number of items in this site.
Cases:225
Images:1755
|

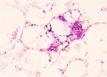
[ Image ID:1942 ]
■Detailed data
| Materials |
bone marrow(BM)aspiration
|
| Stain |
May-Grünwald Giemsa (MG)
|
| Microscopic findings |
Bone marrow is found in small sections of tissue in the fatty marrow hypoplasia prominent.
【MG.200×】
|

|