TOP
About This Site
Registered history
The recently registered disorder names are indicated in the order of the date of registration.
A list of cases (WHO Classification)
Disorder names are classified with WHO Classification ,stratified and indicated.
A list of cases (FAB Classification)
Disorder names are classified with FAB Classification, stratified and indicated.
Number of items in this site.
Cases:225
Images:1755
National Kyushu Cancer Center
Gastrointestinal Medical Image Database
Healing & Relaxation Photo Image Database
TOP
>
World Health Organiz...
>
Acute Myeloid leukem...
>
AML not otherwise ca...
>
AML without maturati...
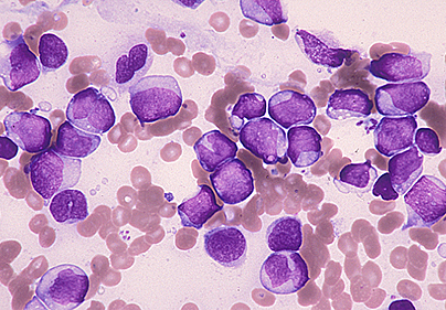
Acute myeloid leukemia (AML-M1)
[ Image ID:2185 ]
■Detailed data
Materials
bone marrow(BM)aspiration
Stain
May-Grünwald Giemsa (MG)
Microscopic findings
In the image of normoplasia marrow has increased blasts of 95% in the bone marrow.
【MG.400x】