TOP
About This Site
Registered history
The recently registered disorder names are indicated in the order of the date of registration.
A list of cases (WHO Classification)
Disorder names are classified with WHO Classification ,stratified and indicated.
A list of cases (FAB Classification)
Disorder names are classified with FAB Classification, stratified and indicated.
Number of items in this site.
Cases:225
Images:1755
National Kyushu Cancer Center
Gastrointestinal Medical Image Database
Healing & Relaxation Photo Image Database
TOP
>
World Health Organiz...
>
Acute Myeloid leukem...
>
AML not otherwise ca...
>
AML without maturati...
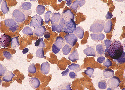
Acute myeloid leukemia (AML-M1)
[ Image ID:2190 ]
■Detailed data
Materials
bone marrow(BM)aspiration
Stain
EST double staining
Microscopic findings
Many blasts were negative but showed part of positive for EST double staining.
This case can be seen more than 90% blasts in the bone marrow, was diagnosed with AML-M1 than that over 3% showed positive for PO staining.【EST-double.400x】