TOP
About This Site
Registered history
The recently registered disorder names are indicated in the order of the date of registration.
A list of cases (WHO Classification)
Disorder names are classified with WHO Classification ,stratified and indicated.
A list of cases (FAB Classification)
Disorder names are classified with FAB Classification, stratified and indicated.
Number of items in this site.
Cases:225
Images:1755
National Kyushu Cancer Center
Gastrointestinal Medical Image Database
Healing & Relaxation Photo Image Database
TOP
>
World Health Organiz...
>
B-Cell Neoplasms
>
Mature B-cell neopla...
>
Lymphoplasmacytic ly...
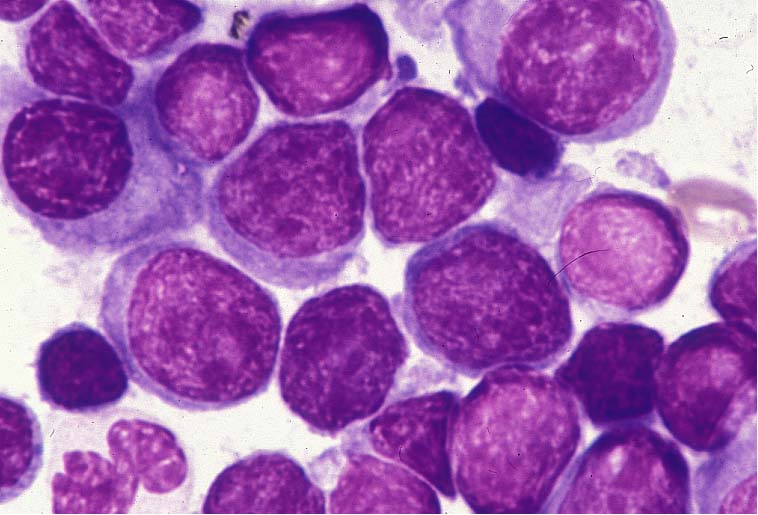
Lymphoplasmacytic lymphoma (LPL)
[ Image ID:649 ]
■Detailed data
Materials
lymph node(LN)biopsy
Stain
May-Grünwald Giemsa (MG)
Microscopic findings
There is a lymphocyte with a lateral nucleus that resembles a plasma cell.
【MG.1000x】