Number of items in this site.
Cases:225
Images:1755
|

[ Image ID:838 ]
■Detailed data
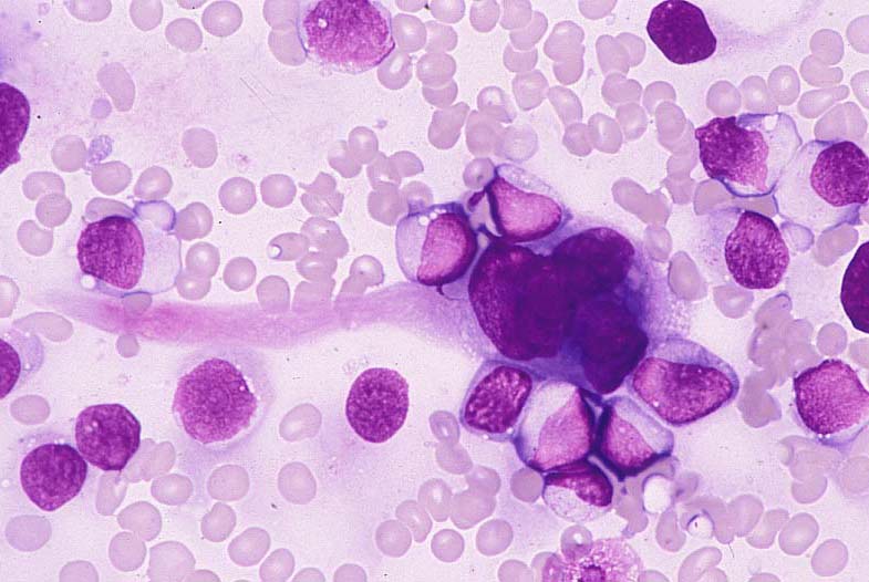
| Materials |
bone marrow(BM)aspiration
|
| Stain |
May-Grünwald Giemsa (MG)
|
| Microscopic findings |
Looking at other field, multiple nuclear caudate cells can also be seen.
【MG.400×】
|

|