TOP
About This Site
Registered history
The recently registered disorder names are indicated in the order of the date of registration.
A list of cases (WHO Classification)
Disorder names are classified with WHO Classification ,stratified and indicated.
A list of cases (FAB Classification)
Disorder names are classified with FAB Classification, stratified and indicated.
Number of items in this site.
Cases:225
Images:1755
National Kyushu Cancer Center
Gastrointestinal Medical Image Database
Healing & Relaxation Photo Image Database
TOP
>
World Health Organiz...
>
Acute Myeloid leukem...
>
AML with recurrent c...
>
AML with t(8;21)(q22...
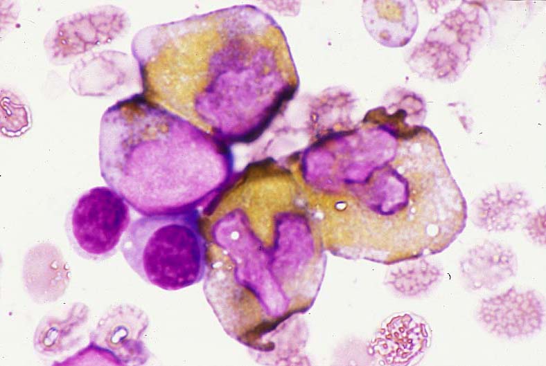
AML-M2 with t(8;21), AML1/ETO
[ Image ID:918 ]
■Detailed data
Materials
bone marrow(BM)aspiration
Stain
peroxidase (PO)
Microscopic findings
The blast cells to the neutrophils can be seen positive for myeloperoxidase staining.
【PO.1000×】