全登録症例数:225
全登録画像数:1755
関連サイト
[ 九州がんセンター ]
[ 国立がんセンター ]
|
成人T細胞白血病/リンパ腫(ATL/L)の予後因子として臨床病型、年齢(40歳以上)、総病変数、高Ca血症、高LDH血症、全身状態などが云われている[LSG.1991]。くすぶり型、慢性型は無治療でも長期に安定化するが、... (続きを読む)
成人T細胞白血病/リンパ腫(ATL/L)の予後因子として臨床病型、年齢(40歳以上)、総病変数、高Ca血症、高LDH血症、全身状態などが云われている[LSG.1991]。くすぶり型、慢性型は無治療でも長期に安定化するが、高率に急性型、リンパ腫型へ移行(急性転化)することが多い。急性型やリンパ腫型は強力な化学療法が施行され、初回治療例の場合80%以上で寛解状態になるが、その期間は短く、多くの例が1年以内に死亡する[山田.2002]。くすぶり型、慢性型、急性型、リンパ腫型の各病型の生存期間の中央値は5年以上、2~3年、10ヶ月、6ヶ月とされる。
本例は、形態学的特徴やHTLV-Ⅰ抗体陽性よりATL/L(急性型)と診断された。
骨髄の大型で空胞を有するものはび慢性大細胞型B細胞リンパ腫に類似するものがあった。CD4/CD8比は0.5であり、典型的なATLに比べCD4、CD25が低率陽性であった。高LDH血症、高Ca血症がみられ、染色体異常では高倍体の核型異常を認めた。 (たたむ)
 
■症例詳細データ
| FAB分類 |
> 慢性 (成熟型) リンパ性白血病 (CL...
> T細胞白血病
> 成人T細胞白血病リンパ腫 (ATL)
|
| 性別 |
男
|
| 年齢 |
70-74
|
| 取得年代 |
2000-2004
|
| 主訴 |
全身倦怠感、リンパ節腫脹。
|
| 既往歴 |
特になし。
|
| 現病歴 |
頚部リンパ節腫脹、背部皮膚病変。
肝脾腫(+)
|
| 検査所見 |
WBC 12,000/μl(St-Seg54, Ly34, Eo3, Ab.ly10%)
RBC 435万/μl、Hb 13.2g/dl、Ht 38.4%、PLT 12.4万/μl、
MCV 88.3fl、MCH 30.3pg、MCHC 34.4%、
NCC 10.6万/μl、MgK 20/μl (Ab.ly46.0%)、
PT 89.9%、APTT 30.2sec、Fbg 287mg/dl、AT-Ⅲ 81%、
LD 1720IU/l、CRP 3.78mg/dl、TP 6.0g/dl、BUN 24.1mg/dl、AST 194IU/l、ALT 86IU/l、Ca 10.6mg/dl、HTLV-1抗体(+)
|
| 末梢血所見 |
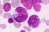
白血球増加(12,000/μl)にて核形不整の病的リンパ球が10%みられた。
|
| 骨髄所見 |
低形成の骨髄にて病的リンパ球は46%みられ、大型のものは核形不整はもとより、好塩基性の細胞質に空胞を認めた。
|
| 細胞化学所見 |
病的リンパ球はPO染色、EST染色は陰性であった。
PAS染色では特に大型の空胞を有する細胞には粗大顆粒状の陽性がみられた。
|
| 形態診断 |
末梢血、骨髄の核形不整のリンパ球は形態学的に腫瘍性を疑うものであった。
大型の細胞には強好塩基性の細胞質に空胞を有し、核形不整が特徴的でHTLV-Ⅰ抗体陽性を加味するとATLを疑った。
|
| 免疫学的所見 |
CD2(79.8%)、CD7(46.2%)、CD3(73%)、CD4(30.2%)、CD5(68.1%)、CD8(50.7%)、CD25(22.0%)、HLA-DR(47.4%)
|
| 分子生物学的所見 |
①90,XX,-Y,-Y,add(1)(p36)x4,del(5)(q?)x2、-6、del(6)(q?),-9,-10,-10,-10,-10,-15,-15,+21,+mar1x2,+mar2,+mar3x2,+mar4x2‥1/20
②84,idem,-3,-8,-9,+10,-12,-13,+15,-17,-18,-18,-21,-mar3,-mar4x2,+3mar‥1/20
③47,XY,+Y‥1/20 ④46,XY‥17/20
|
| リンパ節所見 |
【スタンプMG染色】
中型~大型のリンパ球は腫瘍性増殖し、それらはクロマチンは粗造で核形不整がみられた。
【スタンプPap染色】
腫瘍性リンパ球はクロマチンは凝集状で核小体を認めるものがあった。
【病理組織診】
Malignant lymphoma:diffuse pleomorphic type
|
| 臨床診断 |
腫瘍細胞の形態学的特徴やHTLV-Ⅰ抗体陽性よりATL/L(急性型)と診断された。CD4/CD8比は0.5であり、典型的なATLに比べCD4、CD25が低率陽性であった。
高LD血症、高Ca血症がみられ、染色体異常では高倍体の核型異常を認めた。
|

|