全登録症例数:225
全登録画像数:1755
関連サイト
[ 九州がんセンター ]
[ 国立がんセンター ]
|
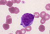
本例は、約10年前にマクログロブリン血症と診断され、メルファランにて治療され経過をみていたものであるが、形態像ならびにIgMの単独増加(4,040mg/dl)よりその再燃を考えられたものである。
WHO.2008年版では... (続きを読む)
本例は、約10年前にマクログロブリン血症と診断され、メルファランにて治療され経過をみていたものであるが、形態像ならびにIgMの単独増加(4,040mg/dl)よりその再燃を考えられたものである。
WHO.2008年版ではリンパ形質細胞性リンパ腫とされた。 (たたむ)
 
■症例詳細データ
| FAB分類 |
> 慢性 (成熟型) リンパ性白血病 (CL...
> B細胞白血病
> 白血化を伴うリンパ形質細胞リンパ腫
|
| 性別 |
男
|
| 年齢 |
65-69
|
| 取得年代 |
2010-2014
|
| 症例の種類 |
典型例
|
| 主訴 |
全身倦怠感、貧血
|
| 既往歴 |
マクログロブリン血症(約10年前)
ブスルファンにて治療歴あり
|
| 現病歴 |
倦怠感、心窩部痛
|
| 検査所見 |
WBC6,300/μl (Promy 1,.My2, St-Seg30, Ly41, Mo14, Eo7, Ba4%,other 1%)
RBC205万/μl、Hb6.4g/dl、Ht19.8%, PLT6.6万/μl,MCV96.6fl, MCH31.2pg, MCHC32.3%
TP6.3g/dl、LDH325U/l、ALP314IU/l、BUN8mg/dl、Cre0.7mg/dl、Ca7.5mg/dl
CRP2.28mg/dl、IgG355mg/dl、IgA28mg/dl、IgM4,040mg/dl、フエリチン844mg/dl
NCC39.2万/μl(immature erythroblast 88%)
|
| 末梢血所見 |
白血球正常にて、幼若顆粒球の出現とリンパ球が41%みられた。リンパ球の一部には核の偏在傾向のものもみられた。
|
| 骨髄所見 |
骨髄は低形成で、リンパ球は65%みられた。芽球は正常の割合で、リンパ球には核網が粗鋼で核の偏在するものがみられ、一部には核網の繊細なものもみられた。
|
| 細胞化学所見 |
リンパ球は陰性であった。ほかにPAS、EST染色も陰性であった。
|
| 形態診断 |
約10年前にマクログロブリン血症と診断され、メルファランにて治療され経過をみていたもので、形態像ならびにIgMの単独増加(4,040mg/dl)よりその再燃を考えた。
|
| 免疫学的所見 |
CD7(15.6%)、CD13(19.7%)、CD33(11.8%)、GP-A(28.0%)、HLA-DR(14.5%)
|
| 分子生物学的所見 |
45,XY,-13[17]
45,XY,der(13;19)(q10;q10)[3]
|
| リンパ節所見 |
N.D
|
| 臨床診断 |
形態像ならびにIgMの増加(3g/dl以上)より、10年前のマクログロブリン血症(現在のリンパ形質細胞性リンパ腫)の再燃と診断された。
|

|