■ご利用に際して

本サイトは、厚生労働省がん研究助成金総合研究事業および、厚生労働省第3次対がん総合戦略研究事業にて構築され、2014年3月にその事業を終了しております。現在サイトに掲載されている内容は当時の登録状況のまま公開しているため、必ずしも最新の医療に沿う内容ではない場合がございます。ご注意ください。

ご不明点がありましたら九州がんセンターまでお問い合わせください。

消化管医用画像データベースselect languagejapaneseenglishchinesekoreaspanish

Contents

関連サイト
癒し・憩いの画像データベース
患者や家族のQOLの改善を目指して、自然の風景・風情をとりいれた「癒し・憩いの画像データベース」を公開中です。美しい花や自然の景観にリラックスしてください。
詳しくはこちら
症例提示(所在地,施設名等): 福岡県・ 九州がんセンター
GI症例研究会
症例登録日 2008/11/17
画像数 16
性別 男性
年齢 50-54

画像ID:10708
背景色の変更
[ 画像ID:10708 ]


■詳細データ
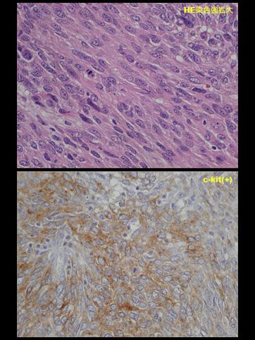
疾患(病理主体)の分類悪性非上皮性腫瘍/平滑筋肉腫(含GIST)
部位(臓器別)2つ以上の臓器/
検査方法ミクロ
腫瘍の肉眼分類2型(潰瘍限局型)/
病変の最大径(ミリ)40以上
腫瘍の深達度ss(a1)
多発腫瘍(同一臓器)
多重腫瘍(他臓器)



▲先頭へ