■ご利用に際して

本サイトは、厚生労働省がん研究助成金総合研究事業および、厚生労働省第3次対がん総合戦略研究事業にて構築され、2014年3月にその事業を終了しております。現在サイトに掲載されている内容は当時の登録状況のまま公開しているため、必ずしも最新の医療に沿う内容ではない場合がございます。ご注意ください。

ご不明点がありましたら九州がんセンターまでお問い合わせください。

消化管医用画像データベースselect languagejapaneseenglishchinesekoreaspanish

Contents

関連サイト
癒し・憩いの画像データベース
患者や家族のQOLの改善を目指して、自然の風景・風情をとりいれた「癒し・憩いの画像データベース」を公開中です。美しい花や自然の景観にリラックスしてください。
詳しくはこちら
症例提示(所在地,施設名等): 東京都・ 国立がんセンター中央病院と九州がんセンターの共同作成
症例登録日 2001/03/19
画像数 32
性別 男性
年齢 -

画像ID:2334
背景色の変更
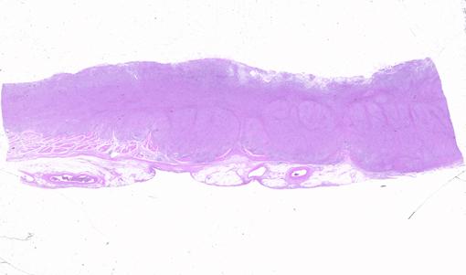
[ 画像ID:2334 ]
潰瘍限局型の胃癌に類似した形態を示した進行胃悪性リンパ腫の割面ルーペ像  病変の中央部での割面における組織ルーペ像です。胃壁は粘膜固有層(m)、粘膜下層(sm)、固有筋層(mp)、漿膜下層(ss)の全層にわたって、腫瘍細胞で置き換えられています。腫瘍細胞はびまん性に、浸潤増殖しています。

■詳細データ
疾患(病理主体)の分類悪性リンパ系腫瘍/悪性リンパ腫
部位(臓器別)胃(部位)/体部
検査方法ミクロ
腫瘍の肉眼分類2型(潰瘍限局型)/
病変の最大径(ミリ)40以上
腫瘍の深達度ss(a1)
多発腫瘍(同一臓器)
多重腫瘍(他臓器)



▲先頭へ