■ご利用に際して

本サイトは、厚生労働省がん研究助成金総合研究事業および、厚生労働省第3次対がん総合戦略研究事業にて構築され、2014年3月にその事業を終了しております。現在サイトに掲載されている内容は当時の登録状況のまま公開しているため、必ずしも最新の医療に沿う内容ではない場合がございます。ご注意ください。

ご不明点がありましたら九州がんセンターまでお問い合わせください。

JapaneseEnglish

画像ID:1513
[ 画像ID:1513 ]

■詳細データ

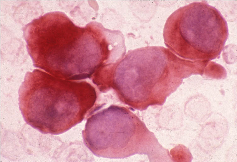
診断材料 骨髄
染色 特異的エステラーゼ
光顕的所見 芽球はアセテートEST染色にび漫性の強陽性を呈したことより単球系を考えた。
本例は、骨髄にて単芽球が93%みられ、それらはEST染色に強陽性でNaFに阻害されたことよりAML-M5aと診断された。
【N-EST.×1000】