TOP
About This Site
Registered history
The recently registered disorder names are indicated in the order of the date of registration.
A list of cases (WHO Classification)
Disorder names are classified with WHO Classification ,stratified and indicated.
A list of cases (FAB Classification)
Disorder names are classified with FAB Classification, stratified and indicated.
Number of items in this site.
Cases:225
Images:1755
National Kyushu Cancer Center
Gastrointestinal Medical Image Database
Healing & Relaxation Photo Image Database
TOP
>
World Health Organiz...
>
T-cell and NK-cell N...
>
Mature T-cell and NK...
>
T-cell large granula...
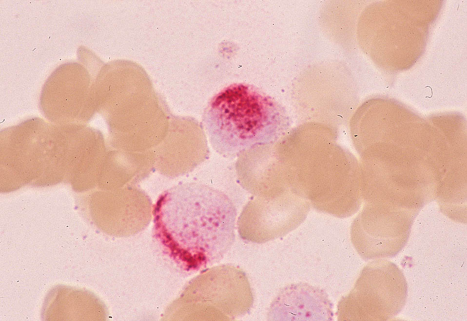
T-cell large granular leukemia
[ Image ID:1816 ]
■Detailed data
Materials
peripheral blood(PB)
Stain
acid phosphatase (ACP)
Microscopic findings
These LGL cells show a localizing positive for
ACP staining.
【ACP.×1000】