TOP
About This Site
Registered history
The recently registered disorder names are indicated in the order of the date of registration.
A list of cases (WHO Classification)
Disorder names are classified with WHO Classification ,stratified and indicated.
A list of cases (FAB Classification)
Disorder names are classified with FAB Classification, stratified and indicated.
Number of items in this site.
Cases:225
Images:1755
National Kyushu Cancer Center
Gastrointestinal Medical Image Database
Healing & Relaxation Photo Image Database
TOP
>
World Health Organiz...
>
T-cell and NK-cell N...
>
Mature T-cell and NK...
>
T-cell prolymphocyti...
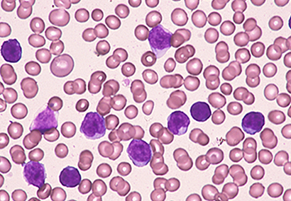
T-cell prolymphocytic leukemia (T-PLL)
[ Image ID:2258 ]
■Detailed data
Materials
peripheral blood(PB)
Stain
May-Grünwald Giemsa (MG)
Microscopic findings
Things like dyed pale nucleus was seen in medium-sized abnormal lymphocytes in the peripheral blood.
【MG.400x】