TOP
About This Site
Registered history
The recently registered disorder names are indicated in the order of the date of registration.
A list of cases (WHO Classification)
Disorder names are classified with WHO Classification ,stratified and indicated.
A list of cases (FAB Classification)
Disorder names are classified with FAB Classification, stratified and indicated.
Number of items in this site.
Cases:225
Images:1755
National Kyushu Cancer Center
Gastrointestinal Medical Image Database
Healing & Relaxation Photo Image Database
TOP
>
World Health Organiz...
>
Acute Myeloid leukem...
>
Acute leukemia of am...
>
Biphenotypic acute l...
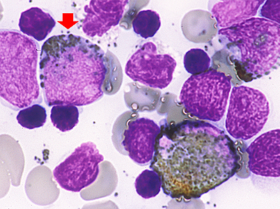
Acute leukemias of ambiguous lineage (Mixed phenotype acute leukemia,T/myeloid,NOS)
[ Image ID:2310 ]
■Detailed data
Materials
bone marrow(BM)aspiration
Stain
peroxidase (PO)
Microscopic findings
Some of large blasts were positive for PO staining in the bone marrow (arrow).
Cell markers in blasts showed expression of CD13 ・CD33・CD34 and CD2·CD3・CD4・CD5・CD7・CD8・TCRβ1.
【PO.1000x】