■ご利用に際して

本サイトは、厚生労働省がん研究助成金総合研究事業および、厚生労働省第3次対がん総合戦略研究事業にて構築され、2014年3月にその事業を終了しております。現在サイトに掲載されている内容は当時の登録状況のまま公開しているため、必ずしも最新の医療に沿う内容ではない場合がございます。ご注意ください。

ご不明点がありましたら九州がんセンターまでお問い合わせください。

JapaneseEnglish

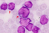
 白血病細胞が成熟傾向を示さないAMLであり、骨髄有核細胞の90%以上を骨髄芽球が占め、芽球のPO陽性率は3%以上とされる。
     
 本例は骨髄の芽球が97%と優位であり、PO染色は5%、SBB染色は10%と
いずれも3...
(続きを読む)
 白血病細胞が成熟傾向を示さないAMLであり、骨髄有核細胞の90%以上を骨髄芽球が占め、芽球のPO陽性率は3%以上とされる。
     
 本例は骨髄の芽球が97%と優位であり、PO染色は5%、SBB染色は10%と
いずれも3%以上の陽性を示したことよりAML-M1として診断された。しかし、PAS染色の点状陽性はリンパ芽球を支持するものから混合性も考慮すべきと思われた。PO染色とSBB染色は陽性率の相関性より顆粒球染色に使用されるが、陽性率に乖離をみることがある。PO染色はもともと酵素をSBB染色は脂質を染めるという特性から染色の局在性が異なることが原因と思われる。経験的にはSBB染色の方が陽性率は高いようである。PAS染色の2%点状陽性はリンパ芽球を支持するものであったが、表現型では骨髄系のみが検索され追試ができていない。PO染色の低率陽性の場合は混合性白血病も範疇にして骨髄系とリンパ系の表現型の検索は必須である。
(たたむ)

■症例詳細データ
FAB分類 > 急性骨髄性白血病 (AML) > 成熟を伴わない未分化型のAML (M1)
性別
年齢 35-39
取得年代 2000-2004
主訴 頭痛、倦怠感。
既往歴 B型慢性肝炎。
現病歴 頭痛、打撲で来院し血液検査にて芽球様がみられたため入院となった。
検査所見 WBC 11,160/μl(芽球59%)、
RBC 378万/μl,Hb10.7g/dl、Ht 32.5%、MCV 85.9fl、MCH 28.3pg、MCHC 32.9%,PLT 13.2万/μl、
NCC 26.5万/μl、MgK 75/μl
LDH 664lU/l、CRP 1.33mg/dl
末梢血所見 白血球増加(11,160/μl)にて芽球様細胞が59%みられた。
骨髄所見 正形成像にて芽球は97%と増加し、それらは小型でN/C比は高く、クロマチンは粗網状であった。
アウエル小体は不明であり一見リンパ系を思わせた。
細胞化学所見 芽球はPO染色に5%が陽性、SBB染色に10%の陽性がみられた。PO染色とSBB染色との間に乖離がみられた。
PAS染色は極一部(2%)に陽性(点状)であった。
形態診断 骨髄の小型芽球は90%以上を占め、PO、SBB染色が低率ながら陽性(3%以上)よりAML-M1を考えた。
しかし、PAS染色における2%の前後の陽性態度(点状)はリンパ系を示唆するものと思われ、混合性白血病も考慮し表現型の結果を待つことになった。
免疫学的所見 CD33・CD34・HLA-DR(+)
分子生物学的所見 46,XX [6]
リンパ節所見 未施行。
臨床診断 芽球はPO,SBB染色に3%以上が陽性と顆粒球系の表現型が陽性よりAML-M1と診断された。入院135日目にallo-BMTが行われた(HLA完全一致の姉より)。Day21にVNTR(DNA解析による個人識別の検査)にて生着が確認された。day22にAcute GVHD grade I(skin stage I)であった。さらに3年後にallo-PBSCTが行われた。