全登録症例数:225
全登録画像数:1755
関連サイト
[ 九州がんセンター ]
[ 国立がんセンター ]
|
骨髄あるいは末梢血に芽球が20%以上を占め、好中球への分化傾向(前骨髄球以降の分化段階の顆粒球が10%以上)を示す。単球は骨髄有核細胞(ANC)中20%を超えない。FAB分類のM2に相当する。
本例は骨髄の... (続きを読む)
骨髄あるいは末梢血に芽球が20%以上を占め、好中球への分化傾向(前骨髄球以降の分化段階の顆粒球が10%以上)を示す。単球は骨髄有核細胞(ANC)中20%を超えない。FAB分類のM2に相当する。
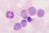
本例は骨髄の芽球が80.4%、PO陽性が65%よりAML-M2を疑った。
芽球にはアズール顆粒を有するTypeⅢ芽球ものが多く、前骨髄球との鑑別に苦慮するものもあった。TypeⅢ芽球は公認されていないため、このような症例では特に混乱を招くことになる。 (たたむ)
 
■症例詳細データ
| FAB分類 |
> 急性骨髄性白血病 (AML)
> 成熟を伴うAML (M2)
|
| 性別 |
男
|
| 年齢 |
60-64
|
| 取得年代 |
2000-2004
|
| 主訴 |
発熱、皮下出血、倦怠感。
|
| 既往歴 |
特になし。
|
| 現病歴 |
発熱(38.2℃)、右下腿腫脹、圧痛、皮下出血、DIC所見。
|
| 検査所見 |
WBC 123,360/μl (芽球94.5, Seg2.0, Ly3.5%)
RBC 279万/μl、Hb 7.9g/dl、Ht 22.9%、
MCV 82.1fl、MCH 28.3pg、MCHC 34.4%、PLT 7.5万/μl、NCC 8.9万/μl、Mgk 0/μl (芽球80.4%)、LD 647IU/l、TP 5.8g/dl、CRP 3.73mg/dl、BUN 14.3mg/dl、UA 4.5mg/dl、Ca 8.0mg/dl、AST 29IU/l、ALT 18IU/L、Fbg 108mg/dl、FDP 120.3ng/ml、PT 50.3%、APTT 38.2sec、AT-Ⅲ 82%
|
| 末梢血所見 |
白血球著増(123,360/μl)の分類にて芽球が94.5%みられた。それらにはアウエル小体を認めたため骨髄系を疑った。
|
| 骨髄所見 |
低形成像にて分化傾向が弱く芽球は80.4%みられた。
それらは全般に小型でN/C比は高く、やや核形不整がみられ、一部に微細顆粒を有しアウエル小体を認めた。
|
| 細胞化学所見 |
芽球はPO染色に陽性(65%)であった。
PAS染色は陰性で、EST染色ではブチレートEST染色に陰性であった。
|
| 形態診断 |
末梢血、骨髄に出現する芽球は80%以上を占めアウエル小体を認めた。骨髄では微細顆粒を有する芽球やDIC所見もあり一見M3vも考えたがPO染色の染色性がやや弱いようでもありAML-M1またはM2を考え、骨髄の芽球の割合が90%以下より分化傾向が低いM2を疑った。
|
| 免疫学的所見 |
CD13・CD33・CD56・MPO(+)
HLA-DR(-)
|
| 分子生物学的所見 |
分析結果不能。
WT1mRNA:590,000コピー/μgRNA
|
| リンパ節所見 |
未施行。
|
| 臨床診断 |
臨床はDIC、形態はAML-M2様、表面形質ではCD56が陽性で診断が揺れた。またHLA-DRが陰性であった。
広義からAML-M2であり、Myeloid/natural killer cell acute leukemiaも考慮すべきと診断された。染色体の結果は得られなかった。
|

|