全登録症例数:225
全登録画像数:1755
関連サイト
[ 九州がんセンター ]
[ 国立がんセンター ]
|
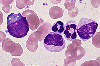
本例は70歳代女性で、46,XX,del(5)(q13q33)の核型異常を示した例である。貧血症(大球性貧血)が主症状であり、血小板数は増加傾向にあった。末梢血の芽球は認めず、骨髄の芽球は5%以下であった。
形態異常と... (続きを読む)
本例は70歳代女性で、46,XX,del(5)(q13q33)の核型異常を示した例である。貧血症(大球性貧血)が主症状であり、血小板数は増加傾向にあった。末梢血の芽球は認めず、骨髄の芽球は5%以下であった。
形態異常として、末梢血では奇形赤血球や巨大血小板、奇形血小板を認め、骨髄ではアズール好性の単円形核の巨核球を認めた。上記の所見はWHO分類の5q-症候群の基準を満たすものであった。 (たたむ)
 
■症例詳細データ
| FAB分類 |
> その他
|
| 性別 |
女
|
| 年齢 |
70-74
|
| 取得年代 |
2005-2009
|
| 症例の種類 |
典型例
|
| 主訴 |
貧血
|
| 既往歴 |
特になし
|
| 現病歴 |
全身倦怠感
|
| 検査所見 |
RBC 260万/μl、Hb 7.4g/dl、Ht 25.5%、MCV 98.1fl、MCH 28.5pg、MCHC 29.0%、PLT 85.6万/μl
WBC 6,100/μl、NCC 21.6万/μl
TP 6.5g/dl、AST 14IU/I、ALT 10IU/I、LD 183IU/l
|
| 末梢血所見 |
大球性正色素性貧血。白血球正常の分類にて、St 10, Seg 53,Ly 24, Mo 5, Ba 6%で芽球は認めなかった。好中球に低率ながらペルゲル様核異常を認めた。著増する血小板には巨大なもの、奇形のものや低顆粒のものを認めた。
|
| 骨髄所見 |
正形成像で、芽球は5%以下、M-E比に異常は認めなかった。巨核球は増加気味で、成熟傾向が強いなか単円形核のものが多くみられた。それらはアズール顆粒を有するもので10%以上を認めた。好中球にペルゲル様核異常や低顆粒を認めるものを10%以上認めた。
|
| 細胞化学所見 |
PO染色にて好中球系に染色性の異常は認めなかった。
鉄染色で環状鉄赤芽球は認めなかった。
|
| 形態診断 |
芽球は末梢血で認めず、骨髄では5%以下であり、形態異常としては骨髄でアズール顆粒を有する単円形核の巨核球やペルゲル核異常や低顆粒の好中球を認めたことよりMDSを疑った。
なかでも、単円形核の巨核球の増加と血小板増加より5q-症候群を考えた。
|
| 免疫学的所見 |
CD13+, CD33+, CD41+, CD34+, HLA-DR+
|
| 分子生物学的所見 |
46,XX,del(5)(q13q33)[17]/46,XX[3]
|
| リンパ節所見 |
ND
|
| 臨床診断 |
芽球の増加を認めず白血球に形態異常を認め、なかでも単円形核の巨核球の増加によりMDSの5q-症候群が考えられ、染色体にてdel(5)(q13q33)核型異常を認めたためそれを支持するものとなった。
|

|