■ご利用に際して

本サイトは、厚生労働省がん研究助成金総合研究事業および、厚生労働省第3次対がん総合戦略研究事業にて構築され、2014年3月にその事業を終了しております。現在サイトに掲載されている内容は当時の登録状況のまま公開しているため、必ずしも最新の医療に沿う内容ではない場合がございます。ご注意ください。

ご不明点がありましたら九州がんセンターまでお問い合わせください。

消化管医用画像データベースselect languagejapaneseenglishchinesekoreaspanish

Contents

関連サイト
癒し・憩いの画像データベース
患者や家族のQOLの改善を目指して、自然の風景・風情をとりいれた「癒し・憩いの画像データベース」を公開中です。美しい花や自然の景観にリラックスしてください。
詳しくはこちら
症例提示(所在地,施設名等): 東京都・ 国立がんセンター中央病院と九州がんセンターの共同作成
TIC症例
症例登録日 2001/02/27
画像数 41
性別 男性
年齢 65-69

画像ID:2238
背景色の変更
[ 画像ID:2238 ]
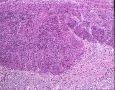
食道癌と胃癌を伴ったCronkhite-Canada症候群の病理組織像(ミクロ)  食道粘膜は肥厚し、全層に上皮の核異型を伴う配列の乱れが見られ扁平上皮癌の所見です。また、下方では粘膜下層への浸潤が認められます。全体に炎症性細胞浸潤も著明に見られます。

■詳細データ
疾患(病理主体)の分類腫瘍様病変/Cronkhite-Canada症候群
部位(臓器別)食道/中
検査方法ミクロ
腫瘍の肉眼分類0型(表在型)/IIc型(IIc)
病変の最大径(ミリ)10〜14
腫瘍の深達度sm
多発腫瘍(同一臓器)
多重腫瘍(他臓器)有(同時性)



▲先頭へ