本サイトは、厚生労働省がん研究助成金総合研究事業および、厚生労働省第3次対がん総合戦略研究事業にて構築され、2014年3月にその事業を終了しております。現在サイトに掲載されている内容は当時の登録状況のまま公開しているため、必ずしも最新の医療に沿う内容ではない場合がございます。ご注意ください。
ご不明点がありましたら九州がんセンターまでお問い合わせください。
|  |          | 
|         |  
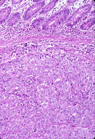
    背景色の変更[ 画像ID:2354 ] 肺癌から多発性に小腸に転移した切除例(56才,女性)の病理組織像(ミクロ) 強拡大像です。腫瘍細胞は大きく、大型で卵円形から多形成の核を持ち、核小体も目立ちます。また、腺管形成を伴わず増殖形式はsolidです。特異な配列は認められず、大細胞癌または未分化癌の所見です。 ■詳細データ 
  | ||||||||||||||||||||||||||||
|  | |
|   | ▲先頭へ | 
|  | |