■ご利用に際して

本サイトは、厚生労働省がん研究助成金総合研究事業および、厚生労働省第3次対がん総合戦略研究事業にて構築され、2014年3月にその事業を終了しております。現在サイトに掲載されている内容は当時の登録状況のまま公開しているため、必ずしも最新の医療に沿う内容ではない場合がございます。ご注意ください。

ご不明点がありましたら九州がんセンターまでお問い合わせください。

消化管医用画像データベースselect languagejapaneseenglishchinesekoreaspanish

Contents

関連サイト
癒し・憩いの画像データベース
患者や家族のQOLの改善を目指して、自然の風景・風情をとりいれた「癒し・憩いの画像データベース」を公開中です。美しい花や自然の景観にリラックスしてください。
詳しくはこちら
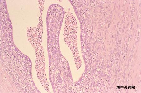
症例提示(所在地,施設名等): 千葉県・ 旭中央病院
症例登録日 2002/06/27
画像数 20
性別 女性
年齢 35-39

画像ID:3504
背景色の変更
[ 画像ID:3504 ]


■詳細データ
疾患(病理主体)の分類腫瘍様病変/子宮内膜症
部位(臓器別)小腸/回腸
検査方法ミクロ
病変の最大径(ミリ)35〜40
多発腫瘍(同一臓器)
多重腫瘍(他臓器)



▲先頭へ