全登録症例数:225
全登録画像数:1755
関連サイト
[ 九州がんセンター ]
[ 国立がんセンター ]
|
本例は末梢血、骨髄にみられる腫瘍細胞に一連の流れがみられた。骨髄では異型性の強い大型細胞がシート状、上皮性結合を認めることより腺癌由来を考え、細胞質内小腺腔(ICL)の存在より骨髄転移率の高い乳癌を原... (続きを読む)
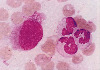
本例は末梢血、骨髄にみられる腫瘍細胞に一連の流れがみられた。骨髄では異型性の強い大型細胞がシート状、上皮性結合を認めることより腺癌由来を考え、細胞質内小腺腔(ICL)の存在より骨髄転移率の高い乳癌を原発巣と推定し、画像診断より乳腺原発と診断された。 (たたむ)
 
■症例詳細データ
| 性別 |
女
|
| 年齢 |
70-74
|
| 取得年代 |
2005-2009
|
| 主訴 |
未詳。
|
| 既往歴 |
未詳。
|
| 現病歴 |
未詳。
|
| 検査所見 |
WBC 5,800/μl (不明細胞+)
RBC 314万/μl、Hb 9.2g/dl、Ht 27.8%、PLT 7.5万/μl
MCV 88.5fl、MCH 29.2pg、MCHC 33.0%、
NCC 8.2万/μl
|
| 末梢血所見 |
二血球減少症にて不明細胞が僅かに散見された。それらは好中球の2倍大で、細胞質は壊れかけ空胞が目立ち、クロマチンは粗で変性気味の異型細胞と考えた。N/C比が高く、核の偏在性は明瞭であった。
|
| 骨髄所見 |
低形成像にて、細胞相互の結合性がやや緩い細胞が集塊状にみられた。細胞集塊は重積性を示さず平面的配列であるが、異型性の強い大型細胞がシート状、上皮性結合を認めることで癌の骨髄転移像を予測した。
|
| 細胞化学所見 |
腫瘍細胞はPO染色に陰性であった。
|
| 形態診断 |
腫瘍細胞は核偏在性があり、核、細胞質ともに多形性に富み、大小不同が目立つことより低分化型の腺癌と考えた。また、細胞質内小腺腔(ICL)を認めたことより腺癌由来を強く示唆する所見と思われた。
|
| 免疫学的所見 |
未詳。
|
| 分子生物学的所見 |
未詳。
|
| リンパ節所見 |
【骨生検所見】
腫瘍細胞は小さな腺腔を形成しながら全体的には充実性胞巣を示している。
核の大小不同や核形不整も目立ち、細胞質内小腺腔(ICL)も確認できることより、骨髄転移率の高い乳癌を原発巣と予測した。
|
| 臨床診断 |
末梢血、骨髄にみられる腫瘍細胞に一連の流れがみられた。骨髄では異型性の強い大型細胞がシート状、上皮性結合を認めることより腺癌由来を考え、細胞質内小腺腔(ICL)の存在より骨髄転移率の高い乳癌を原発巣と推定し、画像診断より乳腺原発と診断された。
*腺癌の骨髄転移:原発;乳癌(充実腺管癌)
|

|